Fracture Surgery

Fracture surgery

A broken bone must be carefully stabilized and supported until it is strong enough to handle the body's weight and movement. Until the last century, physicians relied on casts and splints to support and stabilize the bone from outside the body. The advent of sterile surgical procedures reduced the risk of infection, allowing doctors to internally set and stabilize fractured bones.

Book Your Appointment

What are the treatment options for fractures?

  • Cast immobilization

    A plaster or fiberglass cast is the most common type of fracture treatment, because most broken bones can heal successfully once they have been repositioned and a cast has been applied to keep the broken ends in proper position while they heal.

  • Functional cast or brace

    The cast or brace allows limited or controlled movement of nearby joints. This treatment is desirable for some, but not all, fractures.

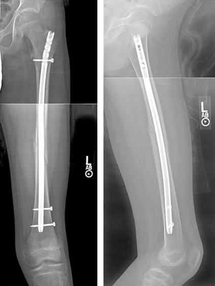
  • Surgery

    During a surgical procedure to set a fracture, the bone fragments are first repositioned (reduced) into their normal alignment. They are held together with special implants, such as plates, screws, nails and wires.

How do you know you got a fracture?

Fractures are very painful and may prevent you from moving the injured area. common symptoms include:

  • Swelling and tenderness around the injury
  • Bruising/Blood clot
  • Deformity — a limb may look out of place, or a part of the bone may puncture through the skin
  • Crepitation-When you try to move the injured limb you will have crackling sensation

Surgeon Consultation

We recommend you to consult the Orthopedician immediately if you got the above symptoms.Your Doctor would recommend you to get an x- ray done to diagnose.

  • When do you need to consider surgery for fracture?

    We recommend surgery when

    • The fractured bone is exposed outside-open fracture
    • Fracture involves the joints
    • Failed non surgical treatment
    • When you want to resume to your activities quickly
  • Advantages of fracture surgery
    • Internal fixation allows shorter hospital stays,
    • Enables patients to return to function earlier,
    • Reduces the incidence of nonunion (improper healing)
    • Reduces incidence of malunion (healing in improper position) of broken bones.
  • What are the implants we use for fracture fixation?

    Implants are made from metal most commomly stainless steel or titanium. Depending on the fracture configuration and the bone we use

    • Plates and screws
    • Nails or Rods
    • Wires/Pins
    • External Fixators
  • How soon should you get the surgery done?

    We recommend to get the surgery done soon as possibly preferably with in a week time if you have no other contraindications for the surgery

  • What happens if you delay the surgery?

    If you delay the surgery your bone will stated healing in abnormal positon which leads to visible deformity and hampered your normal functions.

    Delayed surgery also has increased surgery time,extensiveprocedure,prolongedrecovery time and poor outcome

  • Is fractue fixation a daycare procedure?

    When we do fracture surgery for small bones like your fingers,wrist,foot etc you can go home on the same day after the surgery.If we operate on long bones like leg,thighbones,we advise you to stay for at least 24hours in the hospital for better care.

Risks and complications

Possible complications include:

  • Bleeding
  • Infection
  • Nerve injury
  • A fracture during or after surgery
  • Non union
  • Implant breakage
  • Joint Stiffness

Care at Home

  • Before Leaving Hospital
  • Upto 3 weeks after surgery
  • 3 to 6 weeks after surgery
  • 3 to 6 months after surgery
  • 6 months to 1 year after surgery

Before Leaving Hospital

Talk with your surgeon about any precautions you may have after surgery. You might be on brace or plaster along with a small dressing.do not put pressure on the affected limb till your next visit.

Make sure you have a follow-up appointment scheduled with your surgeon 10 to 14 days after your surgery.Follow the exercises You have been taught for the next couple of weeks.

Upto 3 weeks after surgery

Your follow up visits will happen by now,sutures will be removed by end of 2ndweek.You will be on Home physical therapy and your surgeon would decide about your activities depending on your fracture pattern and the surgical fixation.

3 to 6 weeks after surgery

You will still be on Home physical therapy. You can resume to your daily routine activities with precautions. After about six weeks, you can use your operated limb for gentle activities.,your brace or plaster would be removed by now.you will have a follow up visit with your doctor at 6 weeks.

3 to 6 months after surgery

You will be more comfortable.Can involve in routine activities and low demanding sports activities too.Schedule an appointment with your surgeon at 6 months.

6 months to 1 year after surgery

After one year, about 95% patients are near normal,attain their pre injury status .You can perform all kinds of activities like before.Plan for Implant removal if any discomfort by the implant.

Our Outcomes

90-95% success rate

95% of the patient will resume to their previous activity level

6 weeks

To get back to daily normal activities.

6 months to 1 year

To resume to demanding sports activities

Why everybody recommends Eazy Surgery for knee replacement?

We provide the most full medical services, so every person could have the
pportunity o receive qualitative medical help.

Quality and trust

Enhancing Your Vision sit ametcon sec tetur adipisicing eiusmod tempor.

Doctors driven

Enhancing Your Vision sit ametcon sec tetur adipisicing eiusmod tempor.

Assisted Surgery Experience

Enhancing Your Vision sit ametcon sec tetur adipisicing eiusmod tempor.

Medical Expertise With Technology

Enhancing Your Vision sit ametcon sec tetur adipisicing eiusmod tempor.

Post Surgery Care

Enhancing Your Vision sit ametcon sec tetur adipisicing eiusmod tempor.

Our Expert Doctors Who Performs this Surgery

Frequently Asked Questions?

  • What is a fracture surgery?

    Fracture surgery is a medical procedure performed to repair broken bones in the body. It involves the use of various surgical techniques to realign the bones and help them heal correctly.

  • Who performs fracture surgery?

    Fracture surgery is performed by orthopedic surgeons who specialize in the treatment of bones and joints.

  • What types of fractures require surgery?

    Fractures that are displaced, comminuted, or have fractures that are not aligned correctly, often require surgery to correct them.

  • What is the recovery time after a fracture surgery?

    The recovery time varies depending on the type of fracture, the surgical procedure performed, and the overall health of the patient. On average, patients can expect to recover in 2-4 months.

  • What is the success rate of fracture surgery?

    The success rate of fracture surgery is generally high and depends on factors such as the type of fracture, the surgical procedure performed, and the patient's overall health.

  • What are the risks associated with fracture surgery?

    Risks associated with fracture surgery include infection, bleeding, nerve damage, blood clots, and anesthesia complications.

  • Is fracture surgery painful?

    Fracture surgery is typically performed under anesthesia and patients experience little to no pain during the procedure. Pain management techniques are used post-operatively to minimize discomfort.

Looking for the best specialist for your problem?

Just share your contact details.

+91